Rawatan Akar Gigi Di Klinik Kerajaan : Klinik Pergigian Luyang Kk Di Bandar Kota Kinabalu - Saluran akar gigi merupakan rongga yang terdapat pada bagian tengah gigi yang berisi pembuluh darah dan saraf.

Rawatan Akar Gigi Di Klinik Kerajaan : Klinik Pergigian Luyang Kk Di Bandar Kota Kinabalu - Saluran akar gigi merupakan rongga yang terdapat pada bagian tengah gigi yang berisi pembuluh darah dan saraf.. Rawatan akar gigi boleh dilakukan di klinik pergigian kerajaan atau klinik pergigian swasta. Booking paket di primera dental sekarang juga dan bandingkan harga dari setiap paket. Perawatan saluran akar gigi atau endodontik merupakan perawatan untuk memperbaiki gigi yang rusak parah atau terkena infeksi. Segera konsultasikan masalah gigi berlubang mu kepada dokter gigi spesialis konservasi gigi kami yang. R klinik gigi adalah jaringan klinik gigi yang berdiri sejak juli 2011 sampai saat ini telah melayani lebih dari 30.000 pasien.

Booking paket di primera dental sekarang juga dan bandingkan harga dari setiap paket. Endodontic treatment (perawatan saluran akar gigi)adalah tindakan mempertahankan kesehatan pulpa gigi dan jaringan. R klinik gigi adalah jaringan klinik gigi yang berdiri sejak juli 2011 sampai saat ini telah melayani lebih dari 30.000 pasien. Umumnya perawatan saraf gigi dilakukan dalam beberapa kali kunjungan, namun di audy dental kamu bisa memilih perawatan saraf gigi yang bisa diselesaikan dalam 1 kali kunjungan. Perawatan saluran akar dapat didefinisikan sebagai mengeluarkan seluruh pulpa gigi yang rusak.

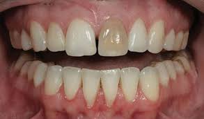
Iqbal Rosali Pa Twitter 3 Akar Gigi Yang Terdedah Akar Gigi Sangat Sensitif Karang Gigi Radang Gusi Atau Masalah Kesihatan Seperti Kencing Manis Adalah Punca Gusi Menyusut Akar Gigi Terdedah Rawatan
Iqbal Rosali Pa Twitter 3 Akar Gigi Yang Terdedah Akar Gigi Sangat Sensitif Karang Gigi Radang Gusi Atau Masalah Kesihatan Seperti Kencing Manis Adalah Punca Gusi Menyusut Akar Gigi Terdedah Rawatan from pbs.twimg.com
Perawatan saluran akar gigi atau endodontik merupakan perawatan untuk memperbaiki gigi yang rusak parah atau terkena infeksi. Rawatan akar gigi diperlukan kepada gigi yang berlubang. Perawatan saluran akar gigi atau adalah prosedur yang bertujuan untuk mengatasi kerusakan pada bagian tengah gigi atau disebut saluran akar gigi serta mengobati infeksi dan pembusukan di daerah. Perawatan saluran akar tadi bertujuan untuk mempertahankan gigi walaupun dalam keadaan non vital, menghilangkan bakteri dari saluran akar 5. Alasan seseorang untuk melakukan perawatan darurat endodontik adalah rasa sakit yang terkadang diikuti juga dengan pembengkakan. Lesi karies akar sulit diperbaiki karena lokasinya, yang biasanya terletak pada subgingival. Sekarang tempatnya enak, jadi bolak balik kontrol gigi karena omdc adalah klinik gigi yang sangat nyaman! Perawatan yang tersedia untuk pasien seharusnya tergantung pada klasifikasi mereka ke dalam kelompok resiko.

Artikel ini akan membincangkan prosedur ini, harganya berserta komplikasi.

Perawatan saluran akar gigi atau adalah prosedur yang bertujuan untuk mengatasi kerusakan pada bagian tengah gigi atau disebut saluran akar gigi serta mengobati infeksi dan pembusukan di daerah. Pengalaman perawatan akar gigi di puskesmas ternyata emang nggak seribet. Klinik pergigian kerajaan vs swasta. Endodontic treatment (perawatan saluran akar gigi)adalah tindakan mempertahankan kesehatan pulpa gigi dan jaringan. Segera konsultasikan masalah gigi berlubang mu kepada dokter gigi spesialis konservasi gigi kami yang. Alasan seseorang untuk melakukan perawatan darurat endodontik adalah rasa sakit yang terkadang diikuti juga dengan pembengkakan. Pembusukan gigi mencapai lapisan ketiga dan menyebabkan peradangan atau infeksi pulpa temukan lokasi klinik kami yang tersebar di jabodetabek & bandung. Akses dan isolasi adekuat penting untuk restorasi yang baik. Selama perawatan saluran akar gigi, dokter gigi akan mengangkat pulpa dan serabut saraf yang terinfeksi dari pusat gigi dan mengisi rongga pulpa. Umumnya perawatan saraf gigi dilakukan dalam beberapa kali kunjungan, namun di audy dental kamu bisa memilih perawatan saraf gigi yang bisa diselesaikan dalam 1 kali kunjungan. Rawatan akar gigi diperlukan kepada gigi yang berlubang. Perawatan gigi busuk maupun perawatan gigi bernanah sama, yaitu dilakukan perawatan saluran akar. Perawatan saluran akar dapat didefinisikan sebagai mengeluarkan seluruh pulpa gigi yang rusak.

Sekarang tempatnya enak, jadi bolak balik kontrol gigi karena omdc adalah klinik gigi yang sangat nyaman! Perawatan saluran akar ini mempunyai fungsi mempertahankan gigi yang telah terinflamasi maupun yang telah mati supaya tetap berada pada lengkung rahang, tentunya dengan berbagai pertimbangan. Lubang pada gigi yang dibiarkan saja atau tidak pernah diperiksakan ke dokter gigi, semakin lama akan semakin membesar. Untuk korona atau veneer, anggara harga ialah rm200 untuk setiap unit gigi namun berikut adalah antara senarai klinik kerajaan yang menawarkan perkhidmatan veneer gigi R klinik gigi adalah jaringan klinik gigi yang berdiri sejak juli 2011 sampai saat ini telah melayani lebih dari 30.000 pasien.

Klinik Pergigian Rohaya Pricing
Klinik Pergigian Rohaya Pricing from static.wixstatic.com
Perawatan ini dapat mengatasi masalah gigi tanpa perlu mencabutnya, sehingga gigi anda bisa digunakan kembali untuk mengunyah dengan nyaman dan. Akses dan isolasi adekuat penting untuk restorasi yang baik. Perawatan gigi busuk maupun perawatan gigi bernanah sama, yaitu dilakukan perawatan saluran akar. Perawatan untuk gigi 85, 46, dan 84 permasalahan utama tersebut akan dibahas menjadi beberapa pertanyaan, antara lain : Perawatan saluran akar tadi bertujuan untuk mempertahankan gigi walaupun dalam keadaan non vital, menghilangkan bakteri dari saluran akar 5. Perawatan saluran akar (psa) biasanya dilakukan pada : Perawatan saluran akar gigi di klinik gigi joy dental. Perawatan ini akan menyelematkan gigi yang mungkin sudah harus di cabut.

Behel gigi / kawat gigi.

Saluran akar gigi merupakan rongga yang terdapat pada bagian tengah gigi yang berisi pembuluh darah dan saraf. Alasan seseorang untuk melakukan perawatan darurat endodontik adalah rasa sakit yang terkadang diikuti juga dengan pembengkakan. Lubang pada gigi yang dibiarkan saja atau tidak pernah diperiksakan ke dokter gigi, semakin lama akan semakin membesar. Pengalaman perawatan akar gigi di puskesmas ternyata emang nggak seribet. Bahan tambal yang dipakai di klinik kami adalah bahan tambal sewarna gigi. Behel gigi / kawat gigi. R klinik gigi adalah jaringan klinik gigi yang berdiri sejak juli 2011 sampai saat ini telah melayani lebih dari 30.000 pasien. Klinik afiah (jalan ciwaringin no. Segera konsultasikan masalah gigi berlubang mu kepada dokter gigi spesialis konservasi gigi kami yang. Perawatan saluran akar gigi adalah prosedur yang bertujuan untuk mengatasi kerusakan pada rongga gigi, serta mengobati infeksi dan pembusukan pada daerah tersebut. Lesi karies akar sulit diperbaiki karena lokasinya, yang biasanya terletak pada subgingival. Perawatan saluran akar gigi (perawatan endodontik) adalah perawatan yang meliputi pembersihan saluran akar gigi dari saraf, pembuluh darah, dan jaringan lainnya yang sudah terinfeksi. Implan gigi adalah komponen akar gigi pengganti yang diletakkan melalui proses pembedahan.

Klinik gigi jakarta oleh dokter gigi dan dentist berpengalaman untuk perawatan dan kesehatan gigi anda. R klinik gigi adalah jaringan klinik gigi yang berdiri sejak juli 2011 sampai saat ini telah melayani lebih dari 30.000 pasien. Misalnya di global estetik untuk penambalan sementara biayanya naik dari. Lesi karies akar sulit diperbaiki karena lokasinya, yang biasanya terletak pada subgingival. Dulu urus gigi rasanya ampun deh!

Klinik Pergigian Kerajaan Dan Swasta Malaysia Apakah Perbezaan Dan Manakah Lebih Baik
Klinik Pergigian Kerajaan Dan Swasta Malaysia Apakah Perbezaan Dan Manakah Lebih Baik from www.lookp.com
Klinik pergigian kerajaan vs swasta. Perawatan saluran akar merupakan prosedur yang dapat dipilih untuk mempertahankan giginya dari tindakan cabut gigi. Pengalaman perawatan akar gigi di puskesmas ternyata emang nggak seribet. Behel gigi / kawat gigi. Perawatan saluran akar gigi (perawatan endodontik) adalah perawatan yang meliputi pembersihan saluran akar gigi dari saraf, pembuluh darah, dan jaringan lainnya yang sudah terinfeksi. Implan gigi adalah komponen akar gigi pengganti yang diletakkan melalui proses pembedahan. Umumnya perawatan saraf gigi dilakukan dalam beberapa kali kunjungan, namun di audy dental kamu bisa memilih perawatan saraf gigi yang bisa diselesaikan dalam 1 kali kunjungan. Booking paket di primera dental sekarang juga dan bandingkan harga dari setiap paket.

Akses dan isolasi adekuat penting untuk restorasi yang baik.

Klinik gigi jakarta oleh dokter gigi dan dentist berpengalaman untuk perawatan dan kesehatan gigi anda. Temukan berbagai paket klinik gigi di primera dental dengan fasilitas klinik terbaik, higienis, dan dokter yang berpengalaman. Segera konsultasikan masalah gigi berlubang mu kepada dokter gigi spesialis konservasi gigi kami yang. Perawatan gigi busuk maupun perawatan gigi bernanah sama, yaitu dilakukan perawatan saluran akar. Perawatan ini dapat mengatasi masalah gigi tanpa perlu mencabutnya, sehingga gigi anda bisa digunakan kembali untuk mengunyah dengan nyaman dan. Pendahuluan perawatan saluran akar merupakan prosedur perawatan gigi yang bermaksud mempertahankan gigi dan kenyamanannya agar gigi yang sakit dapat diterima secara biologik 1990. Booking paket di primera dental sekarang juga dan bandingkan harga dari setiap paket. Pengalaman perawatan akar gigi di puskesmas ternyata emang nggak seribet. Untuk korona atau veneer, anggara harga ialah rm200 untuk setiap unit gigi namun berikut adalah antara senarai klinik kerajaan yang menawarkan perkhidmatan veneer gigi .gigi terbentuk, rawatan akar gigi, pengambilan flouride secara berlebihan, tampalan resin yang klinik kerajaan. Harga rawatan salur akar adalah berbeza mengikut kemahuan dan. Bahan tambal yang dipakai di klinik kami adalah bahan tambal sewarna gigi. Tujuan dari perawatan gigi ini adalah untuk mengawetkan gigi.

Related : Rawatan Akar Gigi Di Klinik Kerajaan : Klinik Pergigian Luyang Kk Di Bandar Kota Kinabalu - Saluran akar gigi merupakan rongga yang terdapat pada bagian tengah gigi yang berisi pembuluh darah dan saraf..